Saúde
•
Saúde
Saúde
•
Apagão cibernético mundial afeta hospitais de São Paulo
Saúde
•
Saúde pélvica e atividade física: como a fisioterapia pélvica pode auxiliar
Saúde
•
Alemão de 60 anos é o sétimo caso de cura provável do HIV
Saúde
•
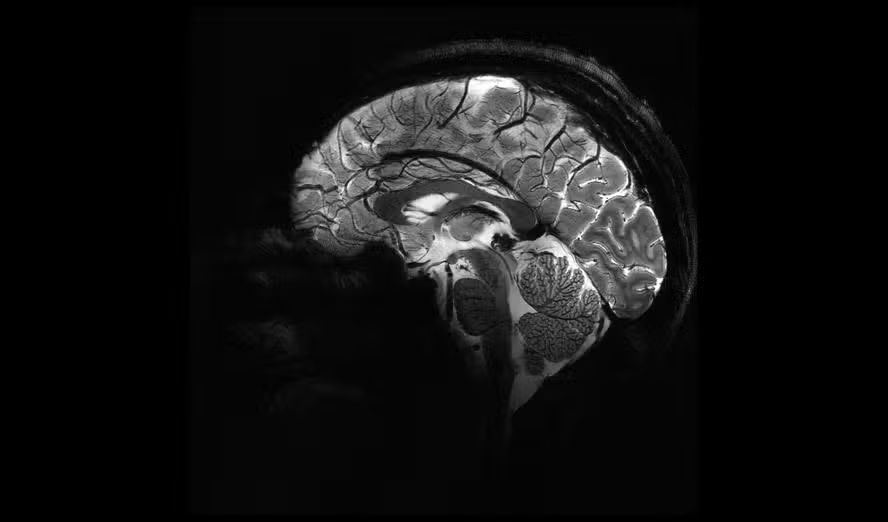
Covid-19 pode impactar o cérebro de forma semelhante à esquizofrenia, diz estudo
Saúde
•
Internação de criança por vírus respiratório sobe em parte do Norte
Saúde
•
Educação e Saúde atualizam calendário vacinal para crianças do Gigantinho Poço
Saúde
•
Vigilância Sanitária interdita clínica e laboratório clandestinos no Tabuleiro do Martins
Saúde
•
Hospital da Criança de Alagoas recebe visitas semanais dos palhaços do Sorriso de Plantão
Saúde
•
Novo medicamento para prevenir HIV mostrou 100% de eficácia em estudo
Saúde
•
Nísia Trindade: “Só é possível avançar na vacinação com a sociedade integrada”
Saúde
•